03/03/2026
Andiamo con Andrea Martino all’ospedale di Candiolo fra ricerca e terapia. Poi torniamo in studio.
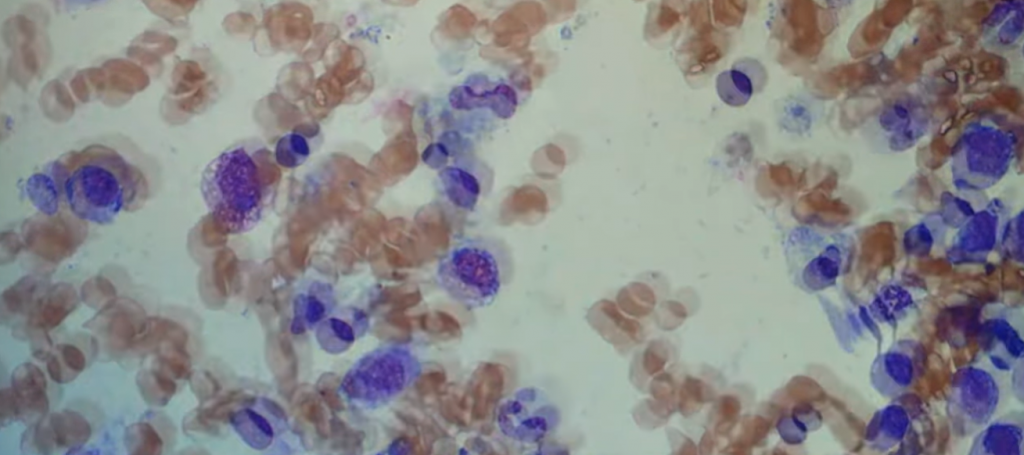
Stiamo guardando i risultati di una delle analisi più avanzate che stiamo facendo a scopo di ricerca. Istituto Candiolo di Torino, un centro oncologico specializzato nella cura quanto nella ricerca sul cancro. Tra le malattie passate al microscopio anche le mielodisplasie. Vediamo di cosa si tratta.
Nell’ambito delle malattie tumorali del sangue ve n’è un gruppo specifico che colpisce i globuli bianchi e che viene chiamato patologie mieloidi, che possono precedere lo sviluppo di una leucemia mieloide acuta e che un tempo erano raggruppate in un’unica malattia, appunto le mielodisplasie, ma che oggi invece sappiamo essere un gruppo molto eterogeneo di malattie. Le mielodisplasie colpiscono soprattutto le persone anziane, con un’età media di 70 anni.
Questa è una malattia della cellula staminale, che è la mamma delle cellule del sangue. Cosa succede?
Che questa cellula nell’arco della vita può sviluppare delle mutazioni, cioè dei danni o delle alterazioni al proprio patrimonio genetico e purtroppo è proprio con l’età che queste alterazioni possono accumularsi fino a portare alla comparsa della malattia. Questo anche perché viene un po’ meno il controllo del nostro sistema immunitario.
I sintomi compaiono gradualmente, spesso sotto forma di una stanchezza persistente. Talvolta si scopre questa malattia attraverso un esame del sangue di routine, ma quello più importante per diagnosticare le mielodisplasie è la biopsia del midollo osseo.
Questo esame si fa ambulatorialmente con un’anestesia locale a livello della cresta iliaca superiore del bacino, quindi nella parte alta del gluteo, e con un piccolo ago andiamo a prendere un po’ di sangue del midollo osseo e un piccolo pezzo di osso.
Possiamo vedere la quantità di cellule, se ci sono alterazioni nella loro forma, che è proprio quello che noi chiamiamo displasia che caratterizza la malattia, e possiamo anche quantificare le cellule immature, che sono quelle che purtroppo quando aumentano portano ai quadri di leucemia acuta mieloide.
Dopo aver valutato il cromosoma nella sua interezza, noi andiamo anche, con le nuove tecnologie, a valutare i singoli geni, quindi possiamo identificare il singolo difetto e in qualche caso questo ci può portare ad offrire una terapia bersaglio che porta a una cura per il malato.

Le mielodisplasie possono essere a basso rischio oppure ad alto rischio. Per quanto riguarda anche le forme a più alto rischio di evolvere in leucemia acuta, abbiamo delle terapie che continuiamo ad usare da diversi anni, a cui però associamo delle terapie bersaglio per migliorare l’efficacia clinica.
In un sottogruppo di malati, inoltre, possiamo offrire l’unica terapia al momento curativa per le mielodisplasie che è la terapia cellulare, cioè il trapianto allogenico di cellule staminali. Entriamo nel laboratorio dove si analizzano i campioni delle biopsie midollari.
Abbiamo posizionato un vetrino dove possiamo subito vedere le cellule del sangue dopo averle colorate e renderci conto delle eventuali alterazioni nella loro forma e quantità, che poi si traducono infatti nella diagnosi di mielodisplasia. Dopo aver visionato il cromosoma si passa a vedere più in profondità i singoli geni.
Possiamo notare che, per esempio, in questo caso specifico ne manca un pezzetto di uno. Questa è, per esempio, una delle anomalie più tipiche delle mielodisplasie ed è importante conoscerla non solo per una diagnosi più corretta, ma anche perché, nel caso specifico, è disponibile una terapia mirata.
Parlare di personalizzazione delle cure significa essere capaci di riconoscere quelle che sono le alterazioni specifiche della malattia in quella persona, perché solo attraverso questa precisione nell’inquadramento della diagnosi è possibile ottenere i migliori risultati possibili per la cura di ciascun paziente.
Qui a Candiolo abbiamo la fortuna di poter unire sia una vicinanza geografica, sia il fatto che noi medici curiamo i malati ma ci occupiamo anche di una parte di ricerca insieme ai colleghi di laboratorio, mettendo insieme l’aspetto clinico di cura del paziente, di qualità e di attenzione alla sua qualità di vita, e l’aspetto di ricerca che ci porta ogni giorno a scoprire un pezzettino in più del perché si sviluppano queste malattie e anche un pezzettino in più di come trasformarle in nuove terapie per i pazienti.
